林燕萍 彭海鹰
天津市胸科医院胸内三科 300051
复发性多软骨炎(relapsing polychondritis,RP)是一种原因不明的、少见的、累及全身多系统的疾病。表现为反复发作和缓解及进展性炎性破坏性病变等特点,常累及软骨和其他全身结缔组织。本病首发于耳、鼻、咽、喉、气管、支气管和关节等软骨组织,进而可累及多系统。除软骨外,呼吸系统、心血管系统、眼、内耳等器官或部位也可以受到影响。RP的病因和发病机制目前尚不清楚[1]。
Letko E[2]通过总结Medline(Pubmed)所有文献中有关RP的文章,集中分析病史、流行病学、病因学、发病机制、临床表现、诊断、治疗及预后也得出结论:RP是一种少见的发作性、递增性与自身免疫有关的炎症疾病。它可累及全身多个部位的软骨,还可影响蛋白多糖丰富的组织,如眼、主动脉、心脏及皮肤。以反复发作性慢性进行性炎症为其病理生理特征。本病约有1/3病例与其它自身免疫性疾病共存。
一.组织病理学改变:
本病在急性炎症期软骨的组织学改变是以中性粒细胞为主,其次为淋巴细胞和浆细胞浸润。软骨陷窝内细胞数量增多,个别细胞有空泡变性;软骨本身的基本改变是蚕食样不规则的软骨组织变性、坏死、溶解,软骨小腔内可有异常纤维组织增生,软骨细胞周围也有弹性纤维增生。炎症消退后,主要改变是纤维化和钙化。RP伴发气管软骨炎症时可见气管软骨的溶解、气管粘膜肿胀及肉芽增生,气管内腔可变狭窄甚至阻塞。如果软骨溶解严重,则吸气时气管软骨环不能维持气道的一定形状,因而并发肺部感染甚至出现窒息死亡。气管支气管软骨的再生比破坏更不规则,过度再生的结果使得软骨出现双层结构。气管环状软骨的不均等再生使气管偏歪加重了再生不良部位的负荷,进而出现发卡样变形。这种气管矢状径的变化导致内径的更加狭窄。[1] [3]
二.临床表现:
RP的临床表现主要与其累及软骨的部位及严重程度相关。全身各处的软骨病变以耳廓为首(66%~95%),依次为关节软骨(52%~85%),喉气管支气管(50%~70%),眼部(50%~65%),鼻软骨(33%~72%),部分患者还可以出现心血管、皮肤、神经、血液系统症状。[4]耳廓软骨炎多呈对称性,交替发作急性起病。急性期表现为外耳廓红、肿、热、痛,有结节红斑。反复多次发作后会导致耳廓松驰,塌陷,外耳道狭窄以及内耳损伤,听力减退。累及关节病变时临床表现不一,受累关节突发肿痛及压痛,暂时性、对称性,单发或多发性非游走性关节炎,受累关节数目多少不一,周围大小关节,肋软骨、胸骨柄、胸锁关节、骶髂关节及耻骨联合均可受累。鼻部受累时可致鼻软骨破坏,出现鞍鼻畸形。眼部受累时,可累及角膜、结膜、色素膜和视网膜,严重时引起视力障碍。病变累及喉、气管及支气管和心血管系统如瓣膜、大动脉时,则病情严重,死亡率明显升高。呼吸道受损主要表现为反复呼吸道感染、咳嗽、咳痰,喘憋、呼吸困难,吸气性喘鸣。咳嗽的特点为突发的、较深的金属音样干咳或阵咳,且多于夜间熟睡时突然发作,极似异物呛咳。肺部的哮鸣常被易误诊为哮喘,但应用b2-激动剂解痉治疗无效。文献报道RP患者中50%以上可出现气道的病变,早期由于气管壁的纤维化或/和水肿而导致管腔普遍狭窄,晚期由于软骨的溶解导致气管腔的塌陷,提示病程预后不佳。反复发作可产生永久性的气道支持结构的破坏,因气管壁的塌陷而发生窒息,这是本病猝死的主要原因。心血管系统受侵主要为二尖瓣的破坏,主动脉环和降主动脉进行性扩张导致主动脉功能不全和大动脉瘤的破裂。另外,皮肤、神经系统、肾脏等也可受侵犯,但发生率较低。[1][3-4]。
三.诊断与鉴别诊断:
RP的病因和发病机制目前仍不清。该病的诊断标准于1976年由McAdam等提出[5]:(1)两侧耳廓复发性软骨炎;(2)非侵蚀性多关节炎;(3)鼻软骨炎;(4) 眼炎症包括结膜炎、角膜炎、巩膜炎/外巩膜炎、葡萄膜炎;(5)喉和(或)气管软骨受累的呼吸道软骨炎;(6)涉及耳蜗和(或)前庭损坏,表现为神经感觉性耳聋、耳鸣和(或)眩晕。有上述三项或三项以上者可确诊,而不必做软骨活检。为了早期诊断,Damiani等[6]1979年对上述标准作了修订,提出以下诊断条件:(1)满足上述标准三项或更多项者;(2)至少有上述一项阳性、且病损软骨活检证实;(3)有两处或更多处不同解剖位置的软骨炎,对激素、氨苯砜治疗有效。
RP的呼吸系统症状及实验室检查并无特异性。纤维支气管镜可直接观察受累的气管支气管炎症、变形、塌陷,粘膜充血水肿、肉芽肿样改变及萎缩。软骨环破坏时可见呼气相气道塌陷致管腔内径缩小。其分度标准为:气管直径内陷≥1/3为轻度;内陷≥1/2为中度;内陷≥4/5接近闭合为重度。[4]镜下取活检可助于明确诊断。肺功能的测定显示吸气和呼气均有阻塞。病理检查病损软骨活检证实即可作出诊断,活检部位可以是鼻软骨、气道软骨和耳廓软骨等,但活检后有可能激发RP的发作造成新的畸形,应予特别注意。
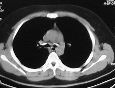
RP的胸部影像学检查 胸片显示可有呼吸道感染、肺不张及肺炎改变。CT由于具有较高的空间及密度分辨率,可以较好的显示气管及支气管病变范围、管壁厚度、管腔狭窄程度及纵膈淋巴结肿大,所以对于早期发现本病,改善患者的预后,有较高的价值。特别是CT三维重建可清楚显示管腔一系列临床病理改变。RP的主要CT表现为气管及主支气管管壁的增厚及管腔的狭窄。大气管受累包括胸廓外及胸廓内的部分,部分向上延伸可累及喉部软骨。在急性期,由于炎性水肿及肉芽组织增生,可导致气道壁的广泛增厚,其特征为以大气管的前、侧壁增厚为主,而其后壁的膜部大致正常。增厚的大气管的内、外轮廓比较光整。长期反复发生慢性炎症,软骨破坏,可逐渐出现程度不等的管壁钙化[7-8]。(见后附图)
RP引起的呼吸系统临床症状和气管支气管狭窄应与其他呼吸疾病相鉴别:(1)支气管哮喘 (2)支气管内膜结核 (3)肺泡蛋白沉着症(4)气管、支气管淀粉样变性 (5)韦格内氏肉芽肿
四.治疗
RP的治疗目前尚无统一方案,仍以药物治疗为主。以皮质类固醇激素应用最多,主要适用于中重度的患者。可以缓解软骨炎症,减少急性发作的次数及严重程度,开始用泼尼松30-60mg/d,重度急性发作的病例,喉、气管、支气管被累及时,泼尼松剂量可达80 mg/d或更多。临床症状缓解后可逐渐减量为5-25mg/d,大多数病人需长期维持使用[9]。重症病例包括眼部、肺、心血管系统受累或有系统性血管炎时常需加用免疫抑制剂,如甲氨蝶呤、环磷酰胺、硫唑嘌呤等。
虽然经过多种药物的积极治疗,其预后仍然不佳,平均存活率仅4年左右。当患者因呼吸困难行气管插管或气管切开辅助通气时常诱发更严重的气道痉挛、窒息,故自 70 年代中期多种介入疗法逐渐被引入临床。气管内金属支架置入治疗复发性多软骨炎已有多例报道,但如果考虑应用支架治疗则必须仔细评估该治疗的利弊。对于弥漫性小气道受累者,可予经鼻持续气道内正压(CPAP)缓解症状[10]。

图1:大气管前侧壁钙化

图2:左、右主支气管前壁钙化

图3:大气管壁前侧壁明显增厚、管腔狭窄

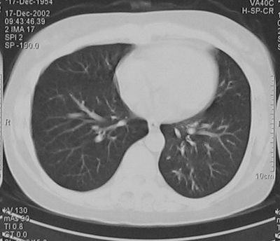
图4:左肺下叶继发感染呈多发斑片结节影

图5:经抗感染治疗后左肺下叶病变消失
参考文献
1.蔡柏蔷 肖毅主编《当代呼吸病学进展》中国协和医科大学出版社 2008年4月第一版 806-811[4]
2.Letko E, Zafirakis P, Baltatzis S,et al.Relapsing polychondritis:
a clinical review[J]. Semin Arthritis Rheum,2002,31(6):384-395.
3.许玉芳. 纤维支气管镜诊断气管支气管软化症30例临床分析 中原医刊,2005,32:12-13
4.张金铭主编《实用数据呼吸病学》天津科技翻译出版公司 2010年1月第一版 237-238
5.McAdom LP,O’Hanlan MA,Bluestone R etal.Relapsing polychondritis: prospective study of 23 patients and a review of the literature[J].Medicine,1976,55:193.
6.Damiani TM,Levine HL.Relapsing polychondritis :report oftencases.Laryngoscope, 1979,89:929~946.
7.Webb EM,Elicker BM,Webb WR.Using CT to diagnose nonneoplastic tracheal abnormalities:appearance of the tracheal wall. AJR Am J Roentgenol 2000;174:1315-1321.
8.蔡欣,曾庆思,谢念危.复发性多软骨炎的CT诊断(附1例报道及文献复习).实用医学影像杂志, 2002, 3(2):124.
9.中华医学会风湿病分会. 复发性多软骨炎诊治指南(草案).中华风湿病学杂志,2004,8(4):252-253
10.Kent PD,Michet CJ,Luthra HS. Relapsing polychondritis[J].Current Opinion in Rheumatolory, 2004,16(1):56-61.