一针“刺”死肿瘤
2024/10/25
袁琴琴 黄燕华
常州市第二人民医院呼吸与危重症医学科 213000
常州市第二人民医院呼吸与危重症医学科 213000
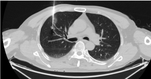
近日,我院呼吸与危重症医学科团队为几名老年患者成功实施了高难度CT引导下经皮同轴套管肺结节穿刺活检+射频消融术。该手术的成功实施,标志着我科在肺部肿瘤治疗领域又取得了新的技术突破,为无法耐受或不愿进行外科手术的肿瘤患者提供了新选择。
经多学科团队讨论,为患者制定微创治疗方案。张倩主任团队为患者实施CT引导下经皮同轴套管肺结节穿刺活检+射频消融术,一次穿刺即能明确病灶性质,又能进行肿瘤微创治疗,避免了多次穿刺引起的不适及并发症的发生,患者恢复快,住院时间短,大大降低患者的医疗费用。
肺癌的射频消融治疗术指的是在CT机引导和监视下,将射频消融针经皮肤穿进肺的肿瘤组织内,在短时间内杀伤肿瘤细胞彻底使其失去活性。从而达到不开刀根治肿瘤的目的。同步经皮肺同轴活检穿刺技术是经胸壁穿刺入肺,以最小的创伤准确获得肺占位病理学诊断使用的技术。
我院呼吸与危重症医学科已开展肺结节的消融治疗,包括微波消融、射频消融、氩氦刀消融等微创技术,目前我院开展消融同步活检操作技术,具有创伤小、恢复快、疗效肯定、住院时间短、医疗费用低、明确肺占位性质等优点。在肿瘤介入诊疗中更近一步,为肺结节患者的健康保驾护航。


上一篇:
说“肺”话,“畅”呼吸 —— 呼吸科普
下一篇:
认识哮喘家族——关注咳嗽变异性哮喘









